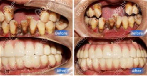
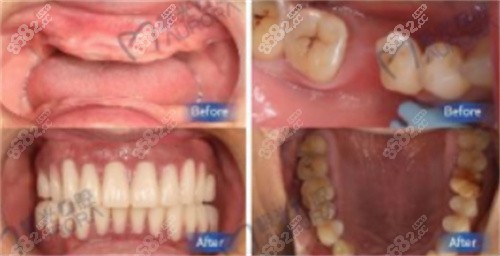
不管是单颗牙种植、多颗牙种植,还是半口全口种植,大家都想找种植牙靠谱的医生操作,成都缺牙的市民也不例外。近期很多成都想要种牙的朋友问,成都种植牙哪位医生技术好,成都种植牙价格是多少,本篇为大家整理了成都种植牙医生排名前十中,成都极光口腔的几位热门医生详细资料,均是种植牙过万的口碑医生,想在成都做单颗牙种植、多颗牙种植、半口全口种植牙的朋友赶紧了解下吧。
成都种植牙医生排名前十中,成都极光口腔有这几位医生上榜
王凌成医生:地区全口种植牙口碑医生, 瑞典诺贝尔认证医生,曾在公办医院工作多年,擅长3D数字化导板种植术、各种牙槽骨缺损、骨增量技术;、全口/半口、无牙颌种植技术、各种疑难杂症种植技术,尤其擅长微创即刻种植技术。16年牙齿修复经历中已经积累12000余美式植牙实例。
林峰医生:四川省半口穿颧即刻种植较早的医生,在《现代口腔医学杂志》等发表多篇口腔论文,国内种植病例大赛获得地区前三,穿颧即刻负重、全口、半口即刻种植/即刻负重、失败种植修复、微创种植、复杂骨增量手术等都比较擅长,目前种植颗数近两万颗。
邢云鹏医生:奥齿泰、诺贝尔种植认证医生,经常到海外交流种植技术,口腔种植从业25年,地区较早开展数字化种植技术、5G动态导航种植系统的医生,擅长ALL-ON-X即刻种植技术、各种牙槽骨缺损、骨增量技术、微创即刻种植,无牙颌种植修复,全口、半口数千例,种牙颗数达20000。
张笑卿医生:美国ABT、登腾OSSTEM、瑞典Nobel认证医生,毕业于四川口腔,在全口BITC口腔种植活动中也获得荣誉。擅长前牙美学区种植修复、牙列缺失种植修复、即刻种植即刻修复、微创种植、常规固定、活动修复等,团队累积种植实例达10000例,其中半口全口数百例。
成都种植牙医生排名前十中,成都极光口腔王凌成医生、林峰医生、张笑卿医生、张笑卿医生种牙颗数基本都已经过万了,在种植牙方面像一些疑难种植牙问题,找他们改善成效也是非常不错的,很多周边城市的市民也会专程来这里做种植牙手术哦。
在成都种植牙一颗价格在3999元到16999元左右,种植牙价格和其他城市也差不多哦。如果大家对于成都种植牙医生排名前十中,这几位种植牙比较好的口碑医生,及成都种植牙价格还有疑问,可以在线解答。